目立たず快適にしっかり整える 幅広い歯並びにも対応できる矯正歯科専門医院 幅広い歯並びにも対応できる 矯正歯科専門医院
滋賀県「栗東駅」から徒歩5分の好アクセス。
「JBO認定歯科矯正専門医」が丁寧なカウンセリングで、お子様から大人まで安心の治療をご提供します。
- 栗東駅
から
徒歩5分 - 平日
午後9時
まで - 無料相談
受付中
滋賀県栗東市ウイング栗東
矯正歯科クリニックの 矯正治療例の紹介
ORTHODONTIC CASE BLOG当院で実際に矯正治療を行なった
症例の一部を、
ブログでご紹介しています。

よくあるお悩み別メニュー
お知らせ news

2026.01.03
当院では一緒に働いていただけるスタッフを募集しております。

2024.12.27
2024年年末 ボーリング大会 後 焼肉

2024.06.16
今回は 海上釣堀

2024.01.29
2024年年始 ボーリング大会 後 焼肉
症例ブログ blog

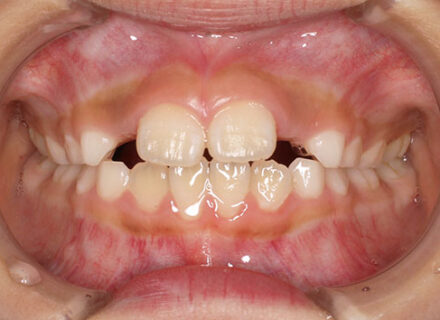
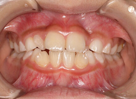
2026.03.08
前歯ががたついて生えてきた
FEATURES 滋賀県栗東市ウイング栗東
滋賀県栗東市ウイング栗東
矯正歯科クリニック 当院の特長

01 doctor
矯正歯科に特化した医師が
複雑な歯並びを含め幅広く治療
JBO認定歯科矯正専門医が治療します
小児矯正、成人矯正、透明な装置を選べる表側矯正、装置を歯の裏につける裏側矯正などをご提供しています。「JBO認定歯科矯正専門医」が丁寧なカウンセリングを行ない、経験と技術力をいかした矯正治療をご提供します。課題が多い歯並びでも安心しておまかせください。
JBO認定歯科矯正専門医名簿
02 orthodontics
目立ちにくい・気づかれにくい
審美的な矯正装置も使用
当院の表側矯正では歯になじむ透明な装置を使うので、金属の装置に比べて目立ちにくくなります。裏側矯正では歯の裏側に装置をつけるため、周囲に気づかれにくくなります。口元の見た目が気にならないだけでなく、いずれの装置も小型化されているため、快適に治療を続けられます。

03 five min
滋賀県「栗東駅」より徒歩5分、土曜も診療
JR「栗東駅」から徒5分、7台収容できる駐車場を完備しており、滋賀県南部(⼤津市・草津市・守⼭市・野洲市・近江⼋幡市・湖南市・東近江市・甲賀市など)からも患者さんが来られます。土曜も診療している通いやすい医院です。

04 counseling
無料カウンセリングの実施
きちんと時間を割き、歯並びのお悩み、治療法や費用への不安・疑問などをお話しいただきます。ご質問にも丁寧にお答えします。カウンセリングは無料ですので、より安心いただくためにもぜひご相談にお越しください。
TREATMENT
矯正治療案内
CALENDAR
診療カレンダー
【診療日】月・火・金:12:00~13:30 /15:30~21:00、土:9:00~13:30 / 15:30~19:00
【休診日】水・木・日・祝日
2026年5月
| 日 | 月 | 火 | 水 | 木 | 金 | 土 |
|---|---|---|---|---|---|---|
| 1 | 2 | |||||
| 3 | 4 | 5 | 6 | 7 | 8 | 9 |
| 10 | 11 | 12 | 13 | 14 | 15 | 16 |
| 17 | 18 | 19 | 20 | 21 | 22 | 23 |
| 24 | 25 | 26 | 27 | 28 | 29 | 30 |
| 31 |
2026年6月
| 日 | 月 | 火 | 水 | 木 | 金 | 土 |
|---|---|---|---|---|---|---|
| 1 | 2 | 3 | 4 | 5 | 6 | |
| 7 | 8 | 9 | 10 | 11 | 12 | 13 |
| 14 | 15 | 16 | 17 | 18 | 19 | 20 |
| 21 | 22 | 23 | 24 | 25 | 26 | 27 |
| 28 | 29 | 30 |































